What is the difference between silver (amalgam) fillings and white (resin) fillings?

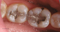
Amalgam (silver filling material) is the traditional, time tested restorative material that dentists have used for hundreds of years that is composed of varying percentages of liquid mercury and silver-tin-copper-zinc alloy powder. Shortly after it is placed in your child's tooth, the mixture self hardens and can last for many years. Advantages of amalgam restorations are that they are less expensive than composite resin filling materials, that corrosion of the metals reduces the chances of recurrent caries (cavities that form under a previously existing filling), and that the amalgam restoration is easier and faster to place in your child's tooth.
Composite resin (white tooth-colored filling material) is a mixture of powdered glass and plastic resin which self hardens or hardens with exposure to blue light. Advantages of composite resin fillings include much better esthetics (matches the color of your child's tooth), more conservative drilling of your child's tooth (less tooth structure needs to be removed), and less chance of your child's tooth fracturing because the composite resin filling is bonded to your child's tooth giving his/her tooth greater strength, actually holding your child's tooth together.

Amalgam Fillings and the Mercury Issue
As parents and health care professionals, we strive to do our very best for your child's teeth and his/her total health. Our goal is to provide the very best care for your child using the most recent and up to date technology and research (Evidence Based Studies). You may be aware that there is a lot controversy and on going debate over the use of amalgam in dentistry.
Amalgam fillings have been used by the dental community as the Standard of Care for over 150 years. The material consists of a powder composed primarily of silver, tin, copper, and zinc that is mixed with a small amount (varying percentages) of liquid mercury. The debate rages over the questionable properties of liquid mercury, a known toxic substance, at high doses. However, in dentistry only a very small dose of mercury is used. A lot of research has been devoted to this issue. Recent official statements and research by the American Dental Association and in the Journal of the American Medical Association have found no deleterious effects of dental amalgams. The ADA states that amalgam is safe to use in both children and adults.
There have been numerous lawsuits throughout the United States over the last decade or so in which plaintiffs and their lawyers contended that amalgam was unsafe. These lawsuits were consolidated into one lawsuit taken to trial in Florida several years ago. The results were that the suits were dismissed. Many news organizations and publications have reported that people were making alot of money and getting very rich by spreading disinformation and fear about amalgam and fluoride; namely, lawyers, lobbyists, and some dentists, who had their own financial best interests in mind.
In April 2006, the Journal of the American Medical Association published two significant studies on the effects of dental amalgam. Between the two studies, over 1000 children were studied for neurological effects on memory, IQ, and visual impairments. In conclusion, there were no differences between children treated with either dental amalgam or white composite resin fillings. These two studies, along with many other research studies, form a large body of evidence that supports the safe use of dental amalgam for our patients. In our office, we will continue to use dental amalgam as an alternative filling material to the more expensive composite resin fillings (which are often not a covered benefit of your dental insurance plan) for cavities as long as the evidence shows that dental amalgam is safe.
If you prefer to use white composite resin fillings for your child's teeth, we certainly do understand and will use this filling material as you request, whenever it is functionally possible. Composite resin fillings are much more esthetic, the amount of your child's tooth that has to be removed is much less, and they have the distinct property of actually holding your child's tooth together. Amalgam fillings slightly push your child's tooth apart as the doctor places the filling and as the restoration ages.
White composite resin filling materials are more expensive and more labor intensive to put into your child's tooth than dental amalgam fillings, so please be aware that there will be additional costs and usually higher co-payments for our families with dental insurance.













